IADR Abstract Archives

Management of Mature Permanenet Molars with Symptomatic Irreversible Pulpitis. Is there an ultra conservative, evidence based alternative to RCT?

Objectives: Recent literature supports vital pulpotomy procedures with MTA or CEMC in Permanent Molars with Irreversible pulpitis. This case report evaluatesTri Calcium SIlicate (Biodentine) for vital pulpotomy in Mature Permanenet Molars with Symptomatic Irreversible Pulpitis.
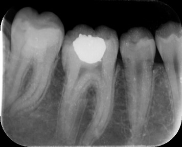
Methods: A 16 year old girl presented with bilateral carious mandibular second molars. She had symptoms of irreversible pulpitis in both the teeth. Parents refused extractuions and were reluctant to proceed with root canal therapy. After informed consent Biodentine Pulpotomy was attempted on both teeth followed by permanent composite resin restorations.
Results: The patient became asymptomatic in both teeth after the procedure. Vital radicular pulp was preserved and root canal treatment avoided
Conclusions: Vital pulpotomy procedures in molars with irreversible pulpitis using bioactive materials appears to be successful in most cases. This has potential to come up as an evidence based treatment modality in selected cases along with necessary expertise.
Division: Pakistan Section Meeting
Meeting: 2015 Pakistan Section Meeting (Lahore, Pakistan)
Location: Lahore, Pakistan
Year: 2015
Final Presentation ID:
Abstract Category|Abstract Category(s): Restorative Dentistry
Authors
  • Khan, Salman  ( University of Lahore , Lahore , Punjab , Pakistan ;  Shaukat Khanum Memorail Cancer Hospital & Research Centre , Lahore , Pakistan )
  • Financial Interest Disclosure: None
    SESSION INFORMATION
    Oral Session
    Restorative Dentistry
    IMAGES