IADR Abstract Archives

Clinical, genetic and molecular analysis of a family affected with imperfect amelogenesis

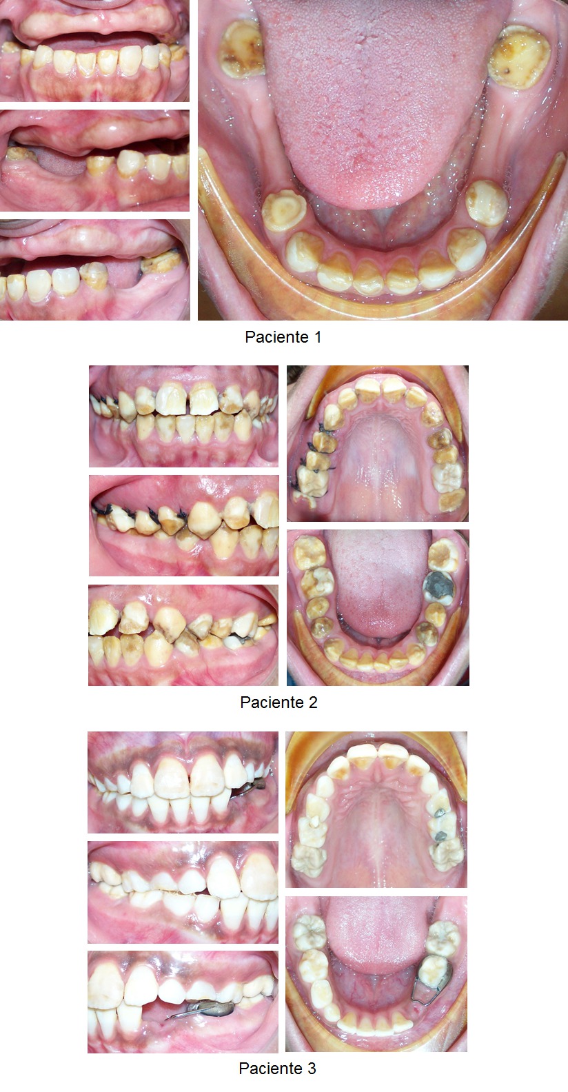
Objectives: Amelogenesis Imperfecta (AI) corresponds to severe disruption in the development of the dental enamel. Several genetic associations have been defined for this condition, mainly mutations in ameloblast expressed genes. Accordingly it is fundamental a clear phenotypic and genotypic correlation among the reported cases of AI for a more effective diagnosis. This study describes three individuals of the same family in the city of Cali (Colombia) based on clinical conditions and genetic protocol from bioinformatics analysis.
Methods: We present a report of 3 consanguineous cases preliminary diagnosticated with AI. This work includes a clinical description with a molecular protocol for the identification of genetic variants. Gene fragments with mutations were sequenced to genotyping characterization and were analyzed for identifying allelic variants with significant frequency for molecular association between genes affected and phenotype.
Results: Identification and validation of preliminary mutations, and the identification of new variants related with the possible pathogenic phenotype. Some of those variants are related with the AI current classification. Two variants have allele frequency less than 1% correspond to pathogenic variants described for AI dominant sex-linked inheritance (AMELEX) and autosomal dominant (ENAM8); two variants have allele frequency less than 1% for FAM83H gene, there are no reports in databases, is described as "patogenic like"; five variants have allele frequency greater than 1% and are reported in databases such as non-pathogenic (ENAM, FAM83H, WDR72) and autosomal dominant inheritance; for variants have allele frequency greater than 1% and are not reported in databases (MMP20, WDR72).
Conclusions: Based on our findings, we propose the current classification methods used by the specialist dentist could describe on the same direction that the genetic context does; besides herein are presented how new variations could be associated to specific phenotypic descriptions of AI in each case.
Division: Latin American Region Meeting
Meeting: 2015 Latin American Region Meeting (Bogota, Colombia)
Location: Bogota, Colombia
Year: 2015
Final Presentation ID:
Abstract Category|Abstract Category(s): Basic Science Studies
Authors
  • Moreno, Freddy  ( Pontificia Universidad Javeriana Cali , Cali , Colombia ;  Universidad del Valle , Cali , Colombia )
  • Hurtado, Paula-margarita  ( Pontificia Universidad Javeriana Cali , Cali , Colombia )
  • Osorio, Julio  ( Institución Universitaria Colegios de Colombia , Cali , Colombia )
  • Tobar-tosse, Fabian  ( Pontificia Universidad Javeriana Cali , Cali , Colombia )
  • Support Funding Agency/Grant Number: Pontificia UNiversidad Javeriana Cali (Colombia)
    Financial Interest Disclosure: NONE
    SESSION INFORMATION
    Oral Session
    BASIC SCIENCES I - THURSDAY OCTOBER 8th
    Thursday, 10/08/2015 , 08:00AM - 10:00AM
    IMAGES