IADR Abstract Archives

DIMENSIONAL CHANGES IN FREE GINGIVAL GRAFTS WITH LOW LEVEL LASER THERAPY: A PRELIMINARY STUDY

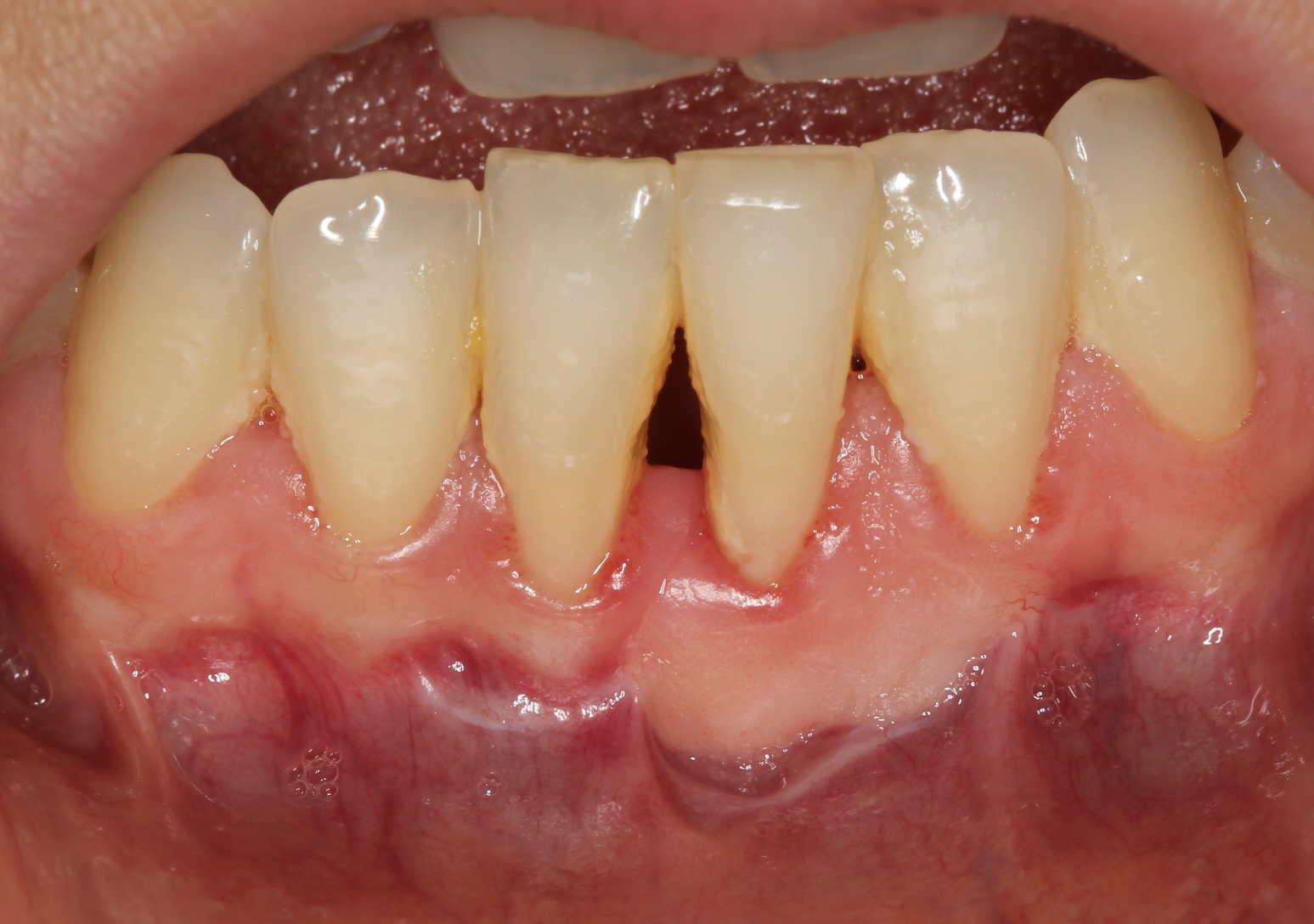
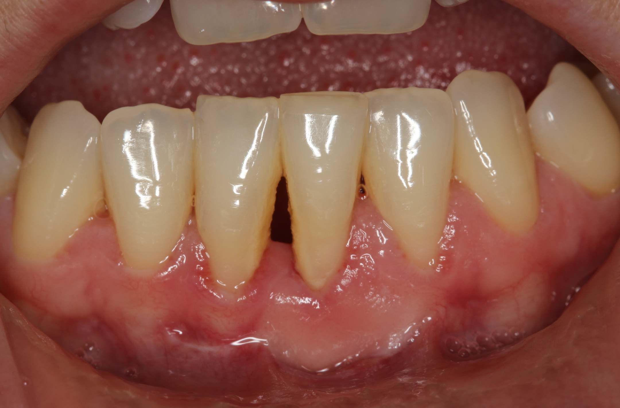
Objectives: Low level laser therapy (LLLT) is widely used during the post-operative period to accelerate the healing process. It promotes beneficial biological action on neovascularization with anti-inflammatory and analgesic effects. The aim of this clinical study was to compare the action of a low-intensity diode laser on the healing process by assessing free gingival graft (FGG) dimensional changes in individuals undergoing free gingival grafts.
Methods: Four systemically healthy and non-smoker patients were referred to Abant İzzet Baysal University, Faculty of Dentistry, Department of Periodontology. Graft was harvested from palate and periodontal dressing wasn’t used. After surgery patient received LLLT using a 820nm diode laser, with output power of 1 W. immediately after surgery, on the first day, on the 7th day and lastly on the 14th day. Probing depth and FGG dimensions (horizonto-superior (HS), horizonto-inferior (HI), and vertical (V)) were assessed by using digital caliper at the same reference point and recorded before surgery, 1 and 3 months postoperatively.
Results: Although in this study we didn’t use periodontal dressing, healing was uneventful and patients' discomfort was minimum. Free gingival graft with assist of low level laser therapy show promising result for all following intervals. Graft dimensions were 10.00mm, 11.75mm and 6.25mm before the surgery; 8.5mm, 12.37mm and 5.87mm within the first month; 8.33mm, 9.66mm and 5.33mm within first three months for HS, HI and V; respectively. Normality of distribution was tested with the Shapiro–Wilk procedure. Kruskal-Wallis was used for the intergroup comparisons. There were no significant differences between the time interval.
Conclusions: The results showed that LLLT was an effective adjunctive treatment in promoting revascularization during early healing of FGG. In addition these results may support the idea of low-level laser therapy as a supportive therapy in patients receiving free gingival graft.
Division: Continental European and Scandinavian Divisions Meeting
Meeting: 2015 Continental European and Scandinavian Divisions Meeting (Antalya, Turkey)
Location: Antalya, Turkey
Year: 2015
Final Presentation ID: 0217
Abstract Category|Abstract Category(s): Periodontal Research - Therapy
Authors
  • Coskuner, Sadiye  ( ABANT IZZET BAYSAL UNIVERSITY , Bolu , Turkey )
  • Alperat KiliÇ, Olgu  ( ABANT IZZET BAYSAL UNIVERSITY , Bolu , Turkey )
  • Ozturk, Tugce  ( ABANT IZZET BAYSAL UNIVERSITY , Bolu , Turkey )
  • Duran, Ismet  ( ABANT IZZET BAYSAL UNIVERSITY , Bolu , Turkey )
  • Financial Interest Disclosure: NONE
    SESSION INFORMATION
    Oral Session
    Periodontal Research - Therapy: Periodontal Surgery
    Friday, 10/16/2015 , 08:30AM - 10:00AM
    IMAGES