IADR Abstract Archives

Full Mouth Implant-retained Prostheses for a Patient With Marfan Syndrome

Objectives: The aim of this case report and literature review is to describe the clinical and histological results of a 56-year-old female with Marfan Syndrome who elected to be treated with bimaxillary sinus augmentation after uneventful healing with implant-retained maxillary and mandibular complete overdentures.
Methods: A 56-year-old female with Marfan syndrome had been a patient at the University of Kentucky College of Dentistry faculty practice since 1995. The amount of bone loss and malocclusion drove the treatment to implant prostheses to replace the entire dentition.
The treatment plan began with bilateral sinus augmentation procedure under IV sedation. The surgeon grafted the sinus and was covered with a resorbable collagen membrane.
Nine months later, a full mouth extraction was performed along with five implants immediately placed in the extraction sites on maxillary arch and four implants placed in the extraction sites of the mandibular arch. Immediate maxillary and mandibular complete overdentures were delivered to functioning while complete osseointegration healing achieved.
Free gingival grafts were performed to gain attached gingiva around implants. Open palate maxillary complete overdenture and mandibular complete overdenture were fabricated and were retained with implant attachments.
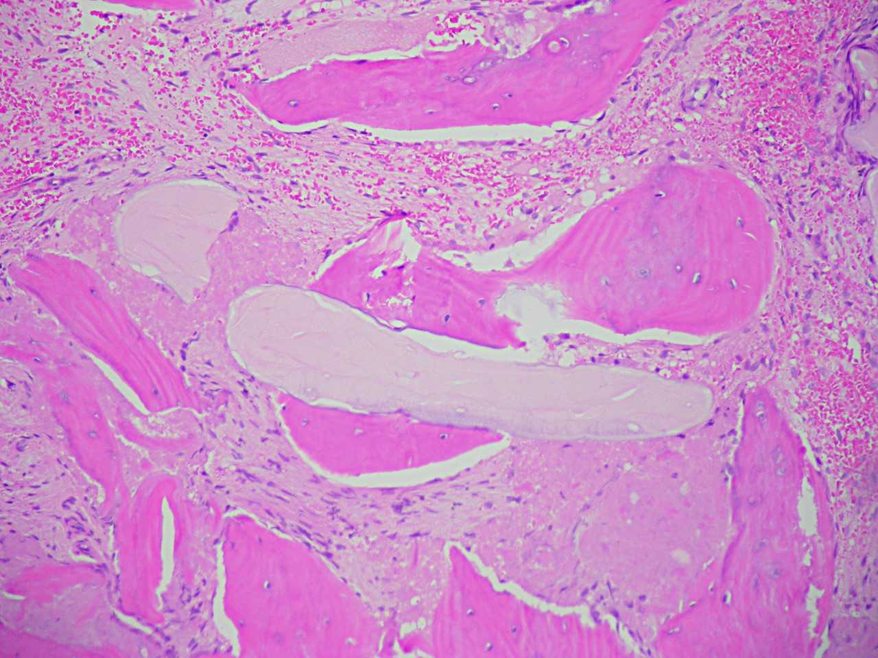
Results: The most common complication reported during the course if this treatment was losing the retention on prostheses. Patient is under periodontal maintenance for every 3-4 months to maintain the hygiene around the implants and dentures. Histology report shows that in areas, the nonvital bone is associated with new bone formation.
Conclusions: After 24 month follow up with full mouth implant retained prostheses in function, the maxillary sinus augmentation was successful. It is the hope that after following up with this case and studying the histology associated with Marfan syndrome, that we will find this treatment option to be the gold standard after natural dentition has failed.
Division: AADR/CADR Annual Meeting
Meeting: 2018 AADR/CADR Annual Meeting (Fort Lauderdale, Florida)
Location: Fort Lauderdale, Florida
Year: 2018
Final Presentation ID: 0316
Abstract Category|Abstract Category(s): Implantology Research
Authors
  • Brown, Karah  ( University of Kentucky , Lexington , Kentucky , United States )
  • Kutkut, Ahmad  ( University of Kentucky , Lexington , Kentucky , United States )
  • Al Tabba, Mostafa  ( University of Kentucky , Lexington , Kentucky , United States )
  • Al-sabbagh, Mohanad  ( University of Kentucky , Lexington , Kentucky , United States )
  • Financial Interest Disclosure: NONE.
    SESSION INFORMATION
    Poster Session
    Peri-implant Tissues in Health and Disease — Diagnostics and Risk Assessment
    Thursday, 03/22/2018 , 11:00AM - 12:15PM
    IMAGES