IADR Abstract Archives

Innovative CAD/CAM Protocol for Fabricating Screw-Retained Implant Resin Provisionals

Objectives: To develop a CAD/CAM protocol in order to fabricate screw-retained provisional resin restorations utilizing Sirona’s Compact Milling Machine (CMM) and a 40 mm Telio® CAD Bridge Block (Ivaclar), in place of the normally required use of a MCXL Milling Unit with Telio® CAD A16 blocks, which contain machine-milled perforations into which a TiBase is inserted.
Methods:
The TiBase itself, without a scan body placed on it, was scanned with a BlueCam Acquisition Unit (Sirona). A #14 cone bur was installed on the left side of the CMM unit, while retaining the standard cylinder-pointed bur in position on the right side. A 40 mm Telio® CAD Bridge Block was milled with the Compact Unit. After milling, a perforation was placed in the oclusal surface of the milled crown using a round bur to allow access for insertion of the implant screw.
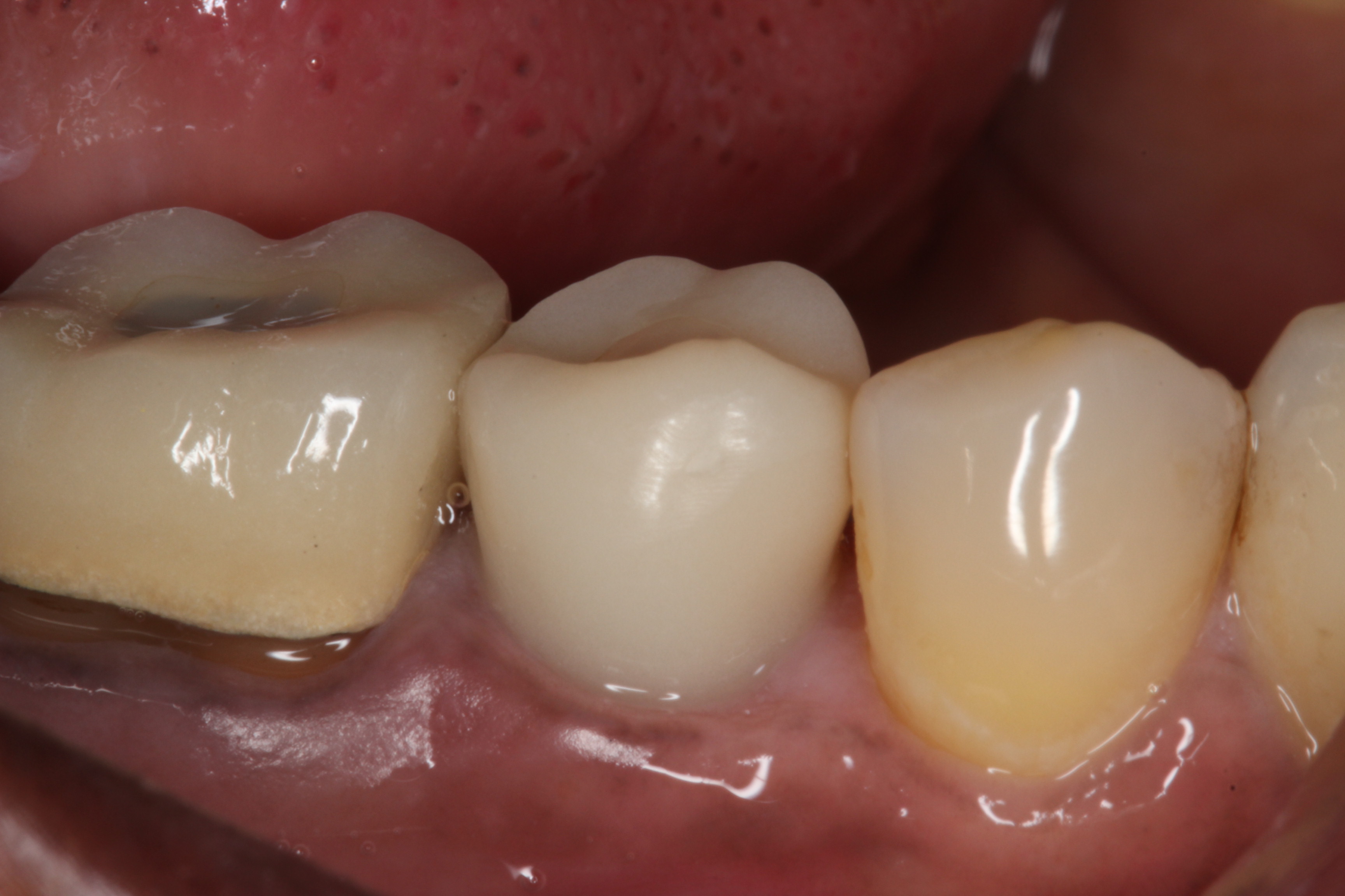
Results: This alternative CAD/CAM fabrication method was successfully used in a number of clinical cases with excellent results (see images). Although the milled portion of the crown accommodated the TiBase, it did not fit as precisely as that achieved with the normal procedure using an A16 block and scanning utilizing a scan body. However, after cementation good retention was achieved between the TiBase and the milled provisional restoration.
Conclusions: Although, it is suggested that a screw-retained provisional implant resin restoration cannot be fabricated using the Compact Milling Machine, the present authors were able to develop a successful work-around protocol for fabricating a screw-retained implant provisional crown using a 40 mm Telio® CAD Bridge Block, instead of the normally utilized A16 block. For those clinicians who have not upgraded and still use a Compact Milling Unit, the present authors offer an innovative CAD/CAM process to fabricate a provisional resin implant crown.
Division: AADR/CADR Annual Meeting
Meeting: 2018 AADR/CADR Annual Meeting (Fort Lauderdale, Florida)
Location: Fort Lauderdale, Florida
Year: 2018
Final Presentation ID: 0681
Abstract Category|Abstract Category(s): Dental Materials 2:Polymer-based Materials
Authors
  • Garcia Fay, Guadalupe  ( University of Maryland School of Dentistry , Baltimore , Maryland , United States )
  • Hack, Gary  ( University of Maryland School of Dentistry , Baltimore , Maryland , United States )
  • Financial Interest Disclosure: NONE
    SESSION INFORMATION
    Poster Session
    Dental Materials: Polymer-based Materials II
    Thursday, 03/22/2018 , 03:45PM - 05:00PM
    IMAGES