IADR Abstract Archives

Protein Expressions in Human Saliva Following Water and Juice Interventions.

Objectives: To assess changes in the salivary protein composition, after short-term exposure (1 minute) and prolonged exposure (10 minutes) to water and apple juice.
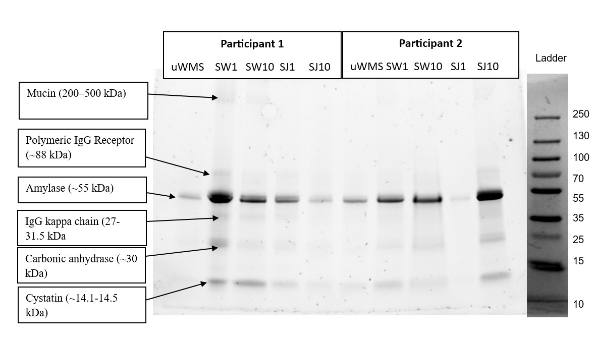
Methods: Saliva samples from 20 participants were collected under five distinct conditions: unstimulated whole mouth saliva (uWMS), saliva after 1 minute of water and juice rinse (SW1, SJ1 respectively), and saliva after 10 minutes of water and juice rinse (SW10, SJ10 respectively). The total protein concentration in each sample was measured using a BCA protein assay (Thermofisher Scientific, IL, USA), allowing for protein equalisation across samples for SDS-PAGE analysis.Samples were diluted, treated with Laemmli buffer, and heated to denature proteins. Electrophoresis was performed on 4-20% TGX stain-free gels, with molecular weights of bands determined against a protein ladder. Protein expression was quantified using densitometry (ImageJ software), normalising data to uWMS. Normalised densitometry values (%) for each protein were pooled from all separate gel analyses (n≤20 participants, Table 1). Due to the non-normal distribution of protein expression data, the Mann-Whitney U test was used to compare two independent groups.
Results: Figure 1 shows protein expression in the 5 saliva groups. A significant decrease (p<0.05) in carbonic anhydrase levels was observed after 1 minute of juice rinse. A significant decrease (p<0.05) in cystatin levels was observed after 10 minutes of juice. Another intriguing finding in our study was the observed significant decrease (p<0.05) in the expression levels of protein bands corresponding to immunoglobulin (Ig) chains, Polymeric IgG receptor and IgG kappa chain following juice intake.
Conclusions: The different expressions in salivary protein levels may have clinical significance and may play a vital role in the buffering of dietary acids and the protection of enamel from erosion.
Division:
Meeting: 2025 IADR/PER General Session & Exhibition (Barcelona, Spain)
Location: Barcelona, Spain
Year: 2025
Final Presentation ID: 2456
Abstract Category|Abstract Category(s): Cariology Research-Erosion
Authors
  • Zaheer, Samina  ( University of Portsmouth , Portsmouth , Hampshire , United Kingdom )
  • Hafizi, Sassan  ( University of Portsmouth , Portsmouth , Hampshire , United Kingdom )
  • Louca, Chris  ( University of Portsmouth , Portsmouth , Hampshire , United Kingdom )
  • Mutahar, Mahdi  ( University of Portsmouth , Portsmouth , Hampshire , United Kingdom )
  • Financial Interest Disclosure: NONE
    SESSION INFORMATION
    Poster Session
    Cariology Research-Erosion I
    Saturday, 06/28/2025 , 11:00AM - 12:15PM
    TABLES
    Saliva groups and number with protein band intensity values (% vs uWMS)
    Protein Identification
    [Molecular Weight (kDa)]
    uWMS (1)
    Median(Interquartile range)
    [Max, Min]
    SW1 (2)
    Median(Interquartile range)
    [Max, Min]
    SW10 (3)
    Median(Interquartile range)
    [Max, Min]
    SJ1 (4)
    Median(Interquartile range)
    [Max, Min]
    SJ10 (5)
    Median(Interquartile range)
    [Max, Min]
    Pairwise comparisons between treatments with p-value
    Mucin
    (n= 11)
    [200–500 kDa]
    100 (.00)
    [100,100]
    61.64(98.8)
    [886.67,0.00]
    36.99(156.08)
    [1186.96,0.00]
    78.36(280.82)
    [1113.33,0.00]
    148.68(231.07)
    [174.30,16.11]
    There is no statistically significant difference between any condition.
    Polymeric IgG receptor
    (n= 7)
    [~88 kDa]
    100 (.00)
    [100,100]
    121.40(153.53)
    [2100,0.00]
    62.74(126.38)
    [126.38,0.00]
    32.77(33.53)
    [66.67,0.00]
    30.48(181.20)
    [302.27,18.30]
    1-4 p=<0.001

    2-4 p=0.041
    Amylase
    (n= 20)
    [~55 kDa]
    100 (.00)
    [100,100]
    116.10(87.45)
    [651.24,0.00]
    95.87 (105.04)
    [434.04,0.00]
    64.21(124.80)
    [249.45,0.00]
    97.55 (79.55)
    [449.69,1.50]
    There is no statistically significant difference between any condition.
    IgG kappa chain (n=14)
    [~27-31.5 kDa]
    100 (.00)
    [100,100]
    131.68(357.71)
    [1114.67,0.00]
    134.73(160.49)
    [1293.10,0.00]
    31.18(95.05)
    [1063.22,0.00]
    101.47(330.55)
    [1192.73,24.45]
    1-4 p=0.004
    Carbonic anhydrase
    (n=11)
    [~30 kDa
    100 (.00)
    [100,100]
    130.71(125.52)
    [730.34,15.22]
    116.03 (285.96)
    [670.21,0.00]
    23.40(101.58)
    [186.52,0.00]
    108.54(101.27)
    [1397.87,0.00]
    1-4 p=0.04
    Cystatin
    (n= 12)
    [~14.1-14.5 kDa]
    100 (.00)
    [100,100]
    80.11(52.43)
    [1517.38,27.02]
    78.56(103.53)
    [1378.85,0.00]
    61.45(95.20)
    [188.58,0.00]
    77.14(49.56)
    [1705.88,30.83]
    1-5 p=0.003
    Table 1 summarizes protein band intensities of six salivary proteins for five saliva groups (uWMS, SW1, SW2, SJ1, and SJ10) based on SDS-PAGE analysis. Values are presented as medians with interquartile ranges (IQR), along with maximum and minimum values, highlighting significant and near-significant p-values that indicate trends in protein expression across saliva conditions.
    IMAGES