IADR Abstract Archives

Accuracy of CBCT Findings in Evaluating Obstructive Sleep Apnea Patients

Objectives: Compare radiographic findings between Obstructive Sleep Apnea (OSA) patients and their counterparts.
Methods: Patients (n=60) from Faculty of Medicine and Faculty of Dentistry, Mansoura University from 2016 to 2019 were included in this study. They were divided into two groups, study group (n=30) who were diagnosed with OSA and required CBCT scanning to evaluate airway space morphology, and control group (n=30) who were imaged by both arches dento-alveolar CBCT scan. This study only included Closed TMJ CBCT scans with 0.3 voxel size. After clarification of the procedures of study, appropriate informed consents were obtained from all the members of the study.
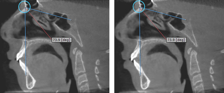
Radiographic assessment was performed using iCAT FLX V17-Series CBCT machine (Imaging Science International, ISI, PA, USA) using quick scan imaging protocol of 16cm x 13cm Field Of View (FOV) (120KV, 5mA, 4sec) and 0.3mm voxel size. Raw DICOM data were transferred to OnDemand3DApp and Invivo5 software. Linear measurements included narrowest cross-sectional area calculated in mm2, Anteroposterior (AP) and Lateral (L) dimensions of the airway at the narrowest cross-sectional area were calculated in mm as shown in Fig. (1).
Results: High significance difference could be seen in some angular, linear and volumetric measurements between the two groups suggesting high accuracy of CBCT measurements.
Conclusions: Both linear and volumetric measurements can be used as new parameters for evaluating OSA patients. CBCT is considered an innovative 3D imaging modality with a relevant low radiation dose that can aid in early referral of suspected OSA patients.
Division: IADR/AADR/CADR General Session
Meeting: 2020 IADR/AADR/CADR General Session (Washington, D.C., USA)
Location: Washington, D.C., USA
Year: 2020
Final Presentation ID: 2797
Abstract Category|Abstract Category(s): Diagnostic Sciences
Authors
  • Isaac, Marco  ( Faculty of Oral and Dental Medicine, Delta University for Science and Technology , Mansoura , Egypt )
  • Elsobky, Ahmed  ( Faculty of Medicine, Mansoura University , Mansoura , Egypt )
  • Aboelmaaty, Wael  ( College of Dentistry, King Saud Bin Abdulaziz University for Health Science , Riyadh , Saudi Arabia )
  • Financial Interest Disclosure: None
    SESSION INFORMATION
    Oral Session
    Diagnostic Sciences II
    IMAGES