IADR Abstract Archives

Clinical Evaluation of Removable Partial Dentures with Implant Surveyed Prostheses

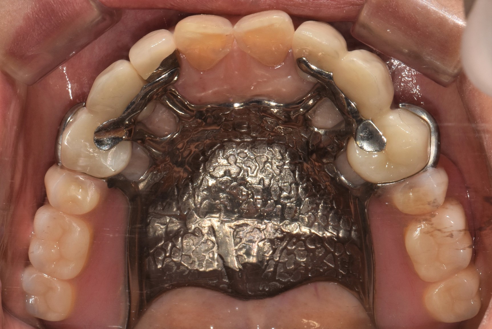
Objectives: Implant-assisted removable partial dentures (IARPDs) have been proposed as a treatment option for partial edentulous patients. However, evidence regarding the merits of implant-assisted removable partial dentures with implant surveyed prostheses is limited. This study was conducted to evaluate the clinical status and complications of IARPDs combined with implant surveyed prostheses in terms of clinical condition, marginal bone resorption, and prosthetic complications.
Methods: Patients treated by IARPDs combined with implant surveyed prostheses and had worn an IARPD at least 12 months were included. 24 patients (25 cases, 12 maxilla and 13 mandible) were selected, and 80 implants used as abutments for IARPDs were surveyed. Average follow-up was 27.6 months and maximum follow-up was 78 months. Implant cumulative survival rate, marginal bone resorption, probing depth, peri-implant inflammation, bleeding, plaque, calculus, and complications were evaluated.
Results: No implant failure was occurred and all implants functioned without clinical mobility. Mean marginal bone resorption of implants at 1 year after loading was 0.772 ± 0.63 mm, and mean probing depth was 3.36 ± 0.06 mm. No patient developed peri-implantitis and no implant failed. Two clasp fractures, one rest fracture, de-cementation, and a porcelain fracture of implant surveyed prostheses were detected at 12 months after loading.
Conclusions: Within the limits of the present study, it was found that well-planned IARPD using implant surveyed prostheses was clinically appropriate. Longitudinal and systematic clinical studies are necessary to confirm these results.
Division: IADR/AADR/CADR General Session
Meeting: 2020 IADR/AADR/CADR General Session (Washington, D.C., USA)
Location: Washington, D.C., USA
Year: 2020
Final Presentation ID: 2098
Abstract Category|Abstract Category(s): Prosthodontics Research
Authors
  • Huh, Jung-bo  ( School of Dentistry, Pusan national University , Yangsan , Korea (the Republic of) )
  • Financial Interest Disclosure: NONE
    SESSION INFORMATION
    Poster Session
    Prosthodontics: Implantology II
    IMAGES