IADR Abstract Archives

Regenerative Potential Of A Novel Treated Dentin Matrix Hydrogel In Pulp Capping

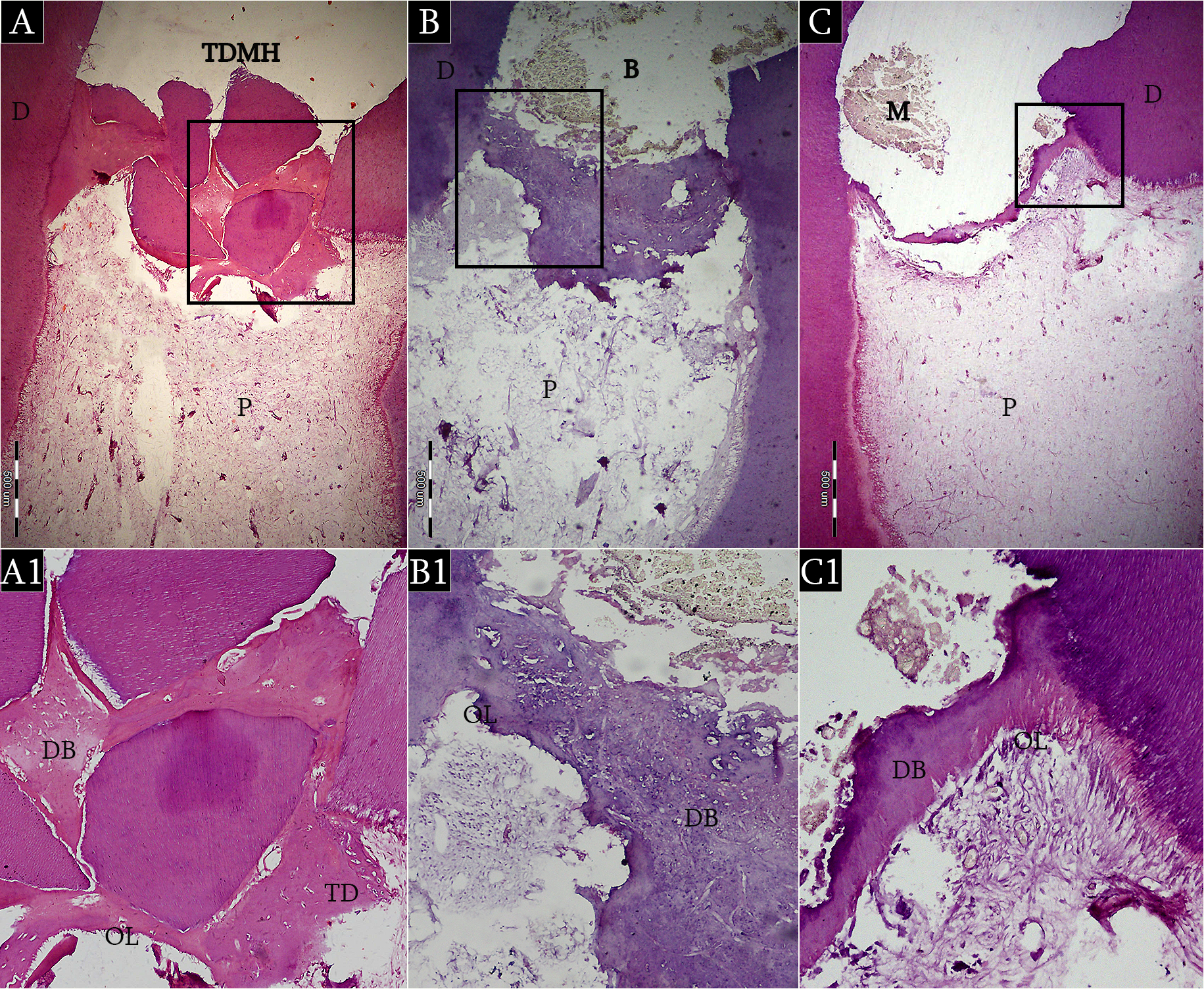
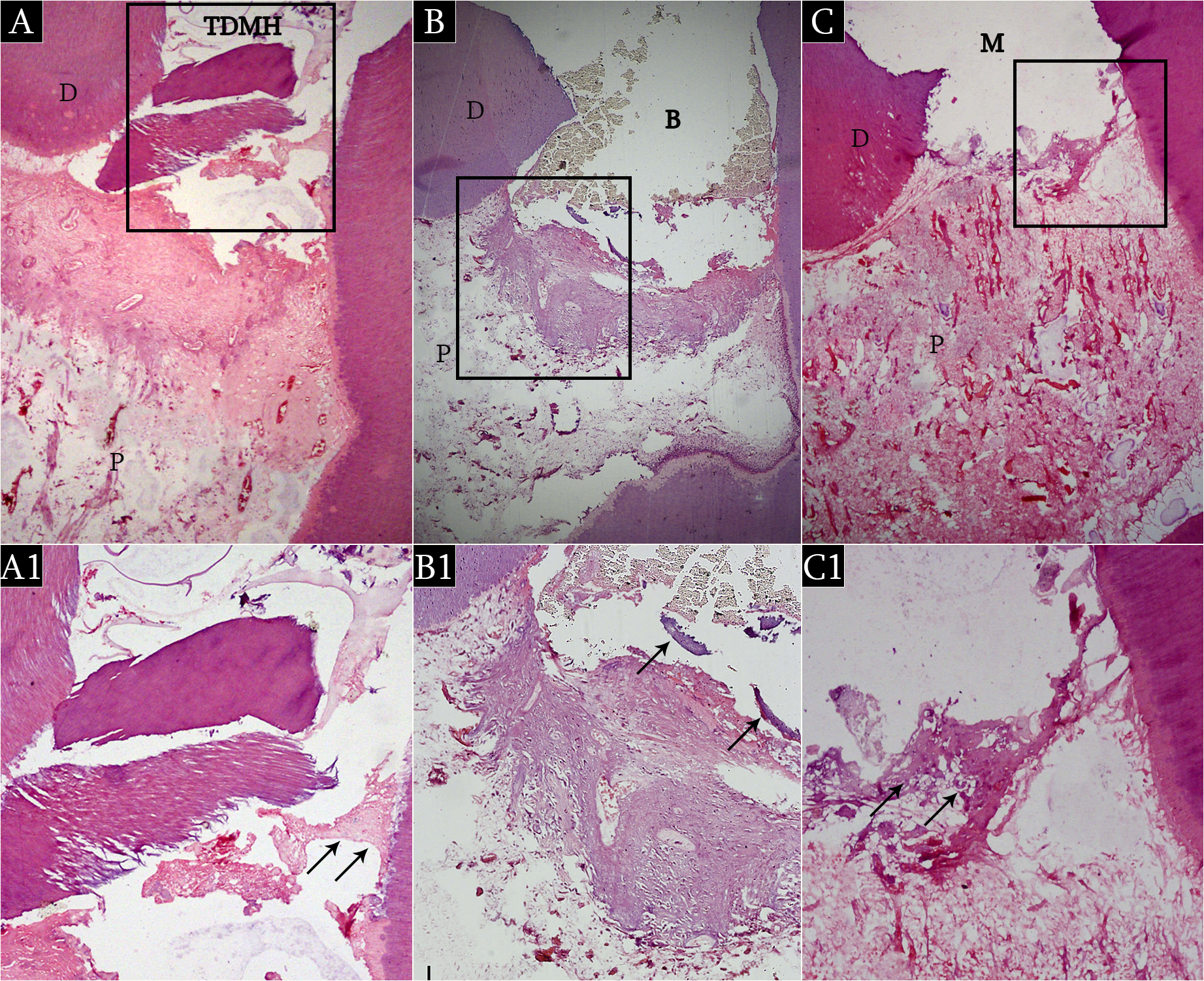
Objectives: Regenerating dentin and preserving pulp vitality are the two key targets for the treatment of dental pulp exposure. Treated dentin matrix has recently been shown to be a suitable scaffold for human dentin regeneration because of its high bioinductive properties. This study aimed to produce a novel injectable Treated dentin matrix hydrogel (TDMH) and to compare its regenerative potential on pulp-dentin complex in human teeth after direct capping with that of Biodentine and Mineral trioxide aggregate (MTA).
Methods: Thirty intact fully erupted premolars scheduled to be extracted for orthodontic reasons were included following institutional ethical approval and informed patient consent. Pulps were mechanically exposed in the middle of the cavity floor. TDMH was composed of TDM powder (500 μm particle size) and sodium alginate as an injectable scaffold which forms the shape in situ and has the potential for clinical application. After pulp capping procedure, the capped teeth were divided into three equal groups (n=10): TDMH, Biodentine and MTA respectively. Assay of periapical response and clinical examination were performed. After 2 weeks and 2 months intervals, the teeth were extracted, stained with hematoxylin-eosin, and categorized by using a histologic scoring system. Statistical analysis was performed using Chi- Square and Mann Whitney tests (P=0.05).
Results: All teeth were vital during observation periods. After 2 months, histological analysis showed complete dentin bridge formation and absence of inflammatory pulp response with no significant differences between groups. However, the dentin bridge was significantly thicker and denser with TDMH group with layers of well-arranged odontoblast-like cells were found to form tubular dentin which was quite similar to primary dentin under the osteodentin.
Conclusions: TDMH could achieve both dentin regeneration and vital pulp conservation, and might serve as a feasible natural substitute for silicate based cements in restoring dentin defect in direct pulp capping procedure.
Division: IADR/AADR/CADR General Session
Meeting: 2020 IADR/AADR/CADR General Session (Washington, D.C., USA)
Location: Washington, D.C., USA
Year: 2020
Final Presentation ID: 0996
Abstract Category|Abstract Category(s): Pulp Biology & Regeneration Research
Authors
  • Holiel, Ahmed  ( Faculty of dentistry Alexandria university , Alexandria , Egypt )
  • Moustafa, Elsayed  ( Faculty of dentistry Alexandria university , Alexandria , Egypt )
  • Abdel-fattah, Wegdan  ( Faculty of dentistry Alexandria university , Alexandria , Egypt )
  • Kawana, Khadiga  ( Faculty of Dentistry- Alexandria University , Alexandria , Egypt )
  • Financial Interest Disclosure: NONE
    SESSION INFORMATION
    Poster Session
    Pulp Biology & Regeneration III
    IMAGES

    Preview