IADR Abstract Archives

Reparative Potential of Progenitor Cells in Injured Temporomandibular Joint Cartilage

Objectives: Degeneration of cartilage surfaces in temporomandibular joint (TMJ) disorders cause pain and disability and seldom resolve spontaneously; thus, there is a need to develop regenerative therapies. We have developed a promising strategy to stimulate cartilage regeneration by endogenous stem/progenitor cells. In previous studies, migratory chondrogenic progenitor cells and meniscus progenitor cells were recruited to injured tissues, where they showed a capability for in situ tissue repair. The purpose of this study was to determine whether such cells are present in TMJ.
Methods: TMJ explants were obtained from young adult goats and rabbits. Cartilage surfaces were scratched with a needle, causing cell death and matrix damage. Full-thickness cartilage defects were made in other explants with a 2-mm-diameter biopsy punch. Scratched explants were cultured for 10 days and processed for confocal examination. Migrated cells were trypsinized and processed for cell migration assay with stromal-derived factor-1alpha (SDF-1a) and white blood cell (WBC) lysates as chemoattractants. Defects were filled with a fibrin/hyaluronic acid hydrogel and were cultured for 3 weeks with or without 1.5x106 WBC lysates and 1 µM N-[N-(3,5-Difluorophenacetyl)-L-alanyl]-S-phenylglycine t-butyl ester (DAPT), a Notch inhibitor that induces chondrogenic differentiation of progenitor cells.
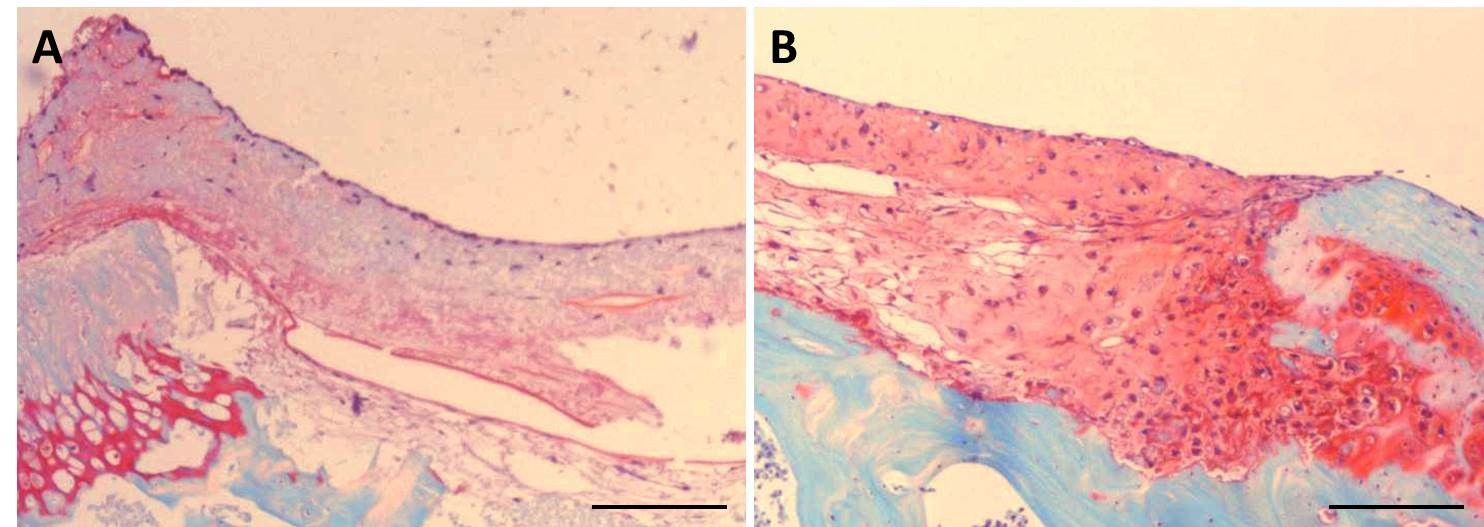
Results: Migrating cells repopulated scratched areas in both mandibular condyle cartilage (MCC) and disc (Fig. 1). WBC lysates significantly increased the number of migrated cells (Fig. 2, p<0.001). SDF-1α enhanced MCC cell migration, but the effect was not significant. Defects were repopulated when WBC lysates were added to the hydrogel filler (Fig. 3). DAPT treatment induced the formation of hyaline cartilage matrix by these cells.
Conclusions: This study showed that endogenous progenitor cells have a great potential for the regeneration of TMJ cartilage. Our findings have important implications for intrinsic MCC and disc repair.

This work was supported by the National Institutes of Health (CORT-NIH P50 AR055533)
Division: IADR/AADR/CADR General Session
Meeting: 2017 IADR/AADR/CADR General Session (San Francisco, California)
Location: San Francisco, California
Year: 2017
Final Presentation ID: 2507
Abstract Category|Abstract Category(s): Craniofacial Biology Research
Authors
  • Seol, Dongrim  ( University of Iowa , Iowa City , Iowa , United States )
  • Song, Ino  ( University of Iowa , Iowa City , Iowa , United States ;  University of Iowa , Iowa City , Iowa , United States )
  • Lehman, Abigail  ( University of Iowa , Iowa City , Iowa , United States )
  • Marc, Brouillette  ( University of Iowa , Iowa City , Iowa , United States )
  • Gail, Kurriger  ( University of Iowa , Iowa City , Iowa , United States )
  • Martin, James  ( University of Iowa , Iowa City , Iowa , United States ;  University of Iowa , Iowa City , Iowa , United States )
  • Shin, Kyungsup  ( University of Iowa , Iowa City , Iowa , United States )
  • Financial Interest Disclosure: NONE
    SESSION INFORMATION
    Poster Session
    TMD and Imaging Studies
    Friday, 03/24/2017 , 03:45PM - 05:00PM
    IMAGES