IADR Abstract Archives

Nutrition Supply Determines Pathogenesis of Synovial Chondromatosis of Temporomandibular Joint

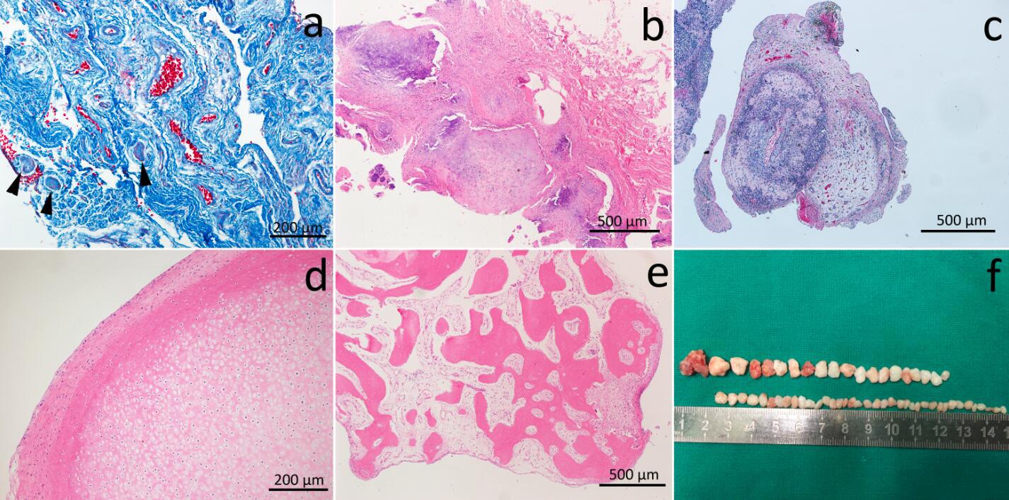
Objectives: Synovial chondromatosis (SC) of temporomandibular joint (TMJ) is a benign proliferative disorder of subsynovial cartilage metaplasia, characterized by formation of cartilaginous nodules (CNs) in sublining layer (SL) of synovium, subsequently detachment and formation of loose bodies (LBs) in joint space, followed by their volume enlargement, and finally suffering ossification. LB formation itself is a successful case of tissue-engineering (TE) cartilage without scaffold. This study aims to investigate morphological features of every stage of TMJSC, and find illumination for TE field.
Methods: LBs and synovium were harvested from 6 TMJSC patients. Specimens were treated with traditional histological methods and disposed with hematoxylin eosin staining and Masson trichrome staining.
Results: Small CNs were formed in SL which included numerous blood vessels and fibroblasts. With the development of CNs, not only their volume increased, but also the location changed from SL to the superficial synovium facing joint space. Meanwhile, quantity of blood vessels decreased in SL. After detachment, synovium covering LBs transformed from a loose tissue rich in blood vessels to a compact connective tissue lack of vessels, together with LBs’ volume further increased. LBs were then calcified with a tidemark, a structure similar to condylar. Finally, the bone trabeculas covered by osteoblasts was observed in largest LBs. Some superficial part of the ossified LB was covered by a compact connective tissue containing layers of fibroblasts, a structure similar to TMJ’s temporal bone.
Conclusions: Angiogenesis in SL promoted nutrition supply during early stage of CNs formation. Nutrients from synovial fluid facilitated further enlargement of LBs volume. When LB’s metabolic demand surpassed nutrition supply, LBs were ossified and transformed into a structure similar to cancellous bone in order for nutrients diffusion. Therefore, nutrition balance determines the pathogenic process of TMJSC. Exploring the balance might facilitate regulating the development of TE cartilage.
Division: IADR/AADR/CADR General Session
Meeting: 2017 IADR/AADR/CADR General Session (San Francisco, California)
Location: San Francisco, California
Year: 2017
Final Presentation ID: 4001
Abstract Category|Abstract Category(s): Oral & Maxillofacial Surgery Research
Authors
  • Li, Yingjie  ( School & Hospital of Stomatology, Wuhan University , Wuhan , Hubei , China )
  • Deng, Mohong  ( Wuhan University , Wuhan , Hubei , China )
  • Long, Xing  ( Wuhan University , Wuhan , Hubei , China )
  • Financial Interest Disclosure: NONE
    SESSION INFORMATION
    Poster Session
    Oral & Maxillofacial Surgery IV
    Saturday, 03/25/2017 , 03:45PM - 05:00PM
    IMAGES