IADR Abstract Archives

Bruxism and Heart Stroke: a Retrospective Study

Objectives: The aim of the present study was to evaluate the relationship between strokes and bruxism.
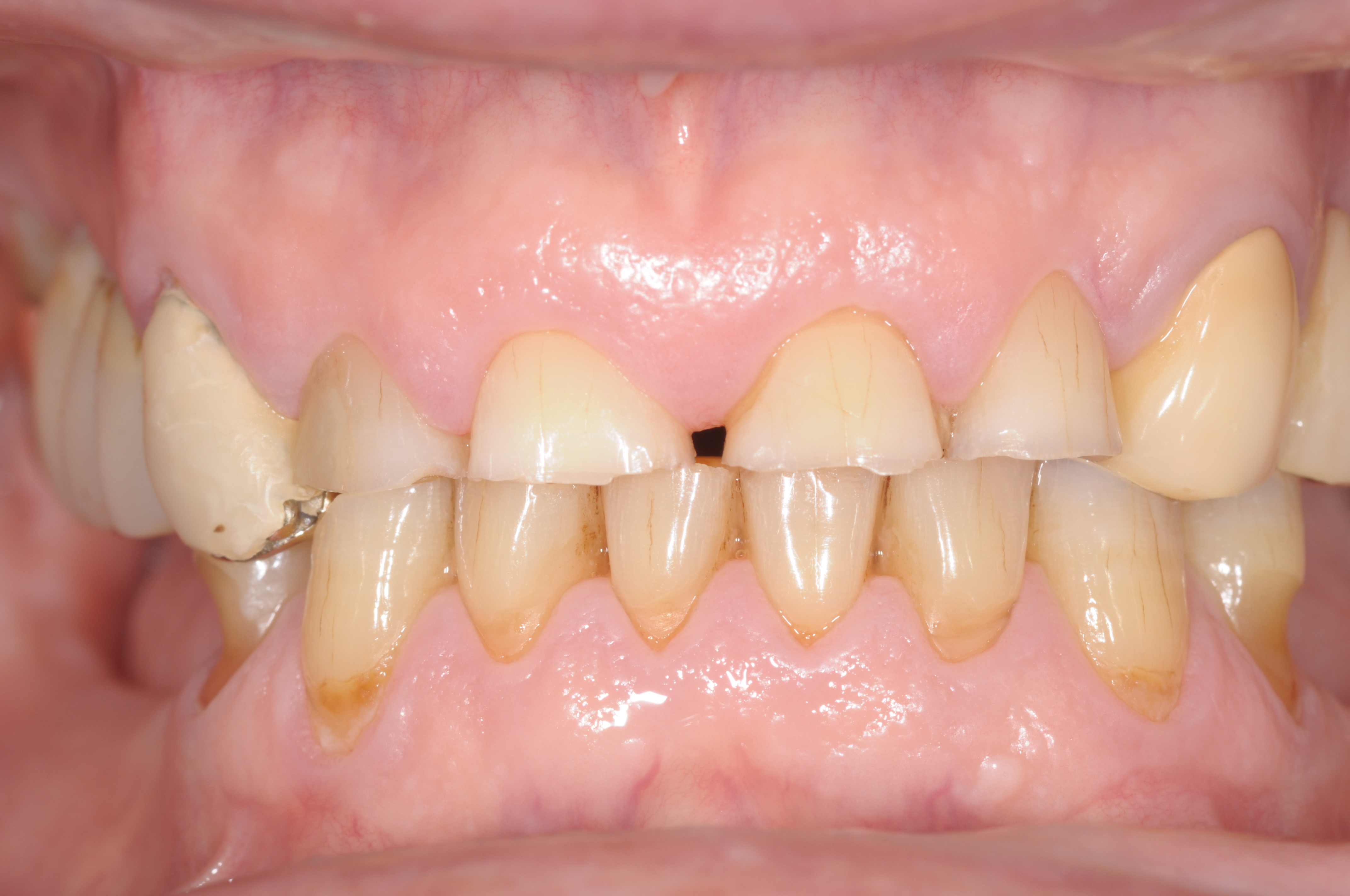
Methods: Sixty patients with a preexistent heart stroke were enrolled in the study. They all were sent to the Odontostomatologic Insitute from the Cardiology Unit of the same hospital (Ospedale della Versilia, Lido di Camaiore). The criterion used to evaluate the presence or absence of bruxism was the tooth wear index (TWI > 0).
Results: The 91,6% of patients included in the study showed a TWI > 0 and they were considered bruxist.
Conclusions: The results of the present study seem to suggest a strong link between heart stroke and bruxism since the major part of the patients showed the presence of wear facets. Further investigations, based on a larger population study and with the addition of a control group, should be conducted in order to see whether the presence of bruxism can be defined as a predictor for heart stroke and viceversa, even though the second direction is clearly clinically less relevant.
Division: IADR/AADR/CADR General Session
Meeting: 2015 IADR/AADR/CADR General Session (Boston, Massachusetts)
Location: Boston, Massachusetts
Year: 2015
Final Presentation ID: 3446
Abstract Category|Abstract Category(s): Oral Health Research
Authors
  • Marconcini, Simone  ( Istituto Stomatologico Toscano , Lido di Camaiore, (LU) , Italy ;  University of Pisa , Pisa , Italy )
  • Genovesi, Annamaria  ( Istituto Stomatologico Toscano , Lido di Camaiore, (LU) , Italy )
  • Covani, Ugo  ( Istituto Stomatologico Toscano , Lido di Camaiore, (LU) , Italy ;  University of Pisa , Pisa , Italy )
  • Giammarinaro, Errica  ( Istituto Stomatologico Toscano , Lido di Camaiore, (LU) , Italy )
  • Marchisio, Olivia  ( Istituto Stomatologico Toscano , Lido di Camaiore, (LU) , Italy )
  • Financial Interest Disclosure: NONE
    SESSION INFORMATION
    Oral Session
    Risk Factors for Oral Diseases
    Saturday, 03/14/2015 , 10:45AM - 12:15PM
    IMAGES