IADR Abstract Archives

Tongue Shape Change With Mandibular Advancement Splint in OSAS Patients

Objectives: Mandibular advancement splints (MAS) can effectively treat obstructive sleep apnea (OSA), however treatment response is variable and the mechanisms behind differences in treatment outcomes are still not well understood. The aims of this study were 1) to assess the effects of MAS on tongue shape and 2) to compare tongue shape changes with MAS between treatment responders and non-responders.
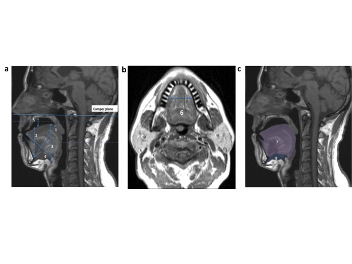
Methods: Sixty-eight adults with symptomatic mild to severe OSA were included. A custom-made MAS was provided to patients and treatment outcome was determined by polysomnography. Two-dimensional measurements of tongue, soft palate and airway were evaluated using sagittal and axial MR image slices without and with MAS in situ.
Results: Based on polysomnography with MAS in situ, 47 patients were classified as responders (≥50% reduction in Apnea- Hypopnea index [AHI] from baseline), and 21 were non-responders (<50% AHI reduction). MAS responders had a shorter anterior height of tongue (4.83 ± 0.49 vs. 5.09 ± 0.46 cm, p =0.046) compared to non-responders. There was no change in sagittal tongue area with insertion of MAS, although there was a change in most of parameters of tongue shape. Responders showed a greater decrease in tongue length with MAS in situ compared to non-responders (-0.64 ± 0.46 vs. -0.32 ± 0.51 cm, p =0.016).
Conclusions: This study reports a detailed two-dimensional analysis of tongue and soft palate shape and position without and with MAS treatment for OSA. Our finding suggests that MAS does induce changes in tongue shape. MAS treatment responders showed a greater decrease in tongue length with MAS in situ, suggesting there may be differences between responders and non-responders in how MAS alters tongue position.
Division: IADR/AADR/CADR General Session
Meeting: 2015 IADR/AADR/CADR General Session (Boston, Massachusetts)
Location: Boston, Massachusetts
Year: 2015
Final Presentation ID: 0957
Abstract Category|Abstract Category(s): Neuroscience
Authors
  • Long, Jian-lan  ( Tohoku university graduate school of dentistry , Sendai , Japan )
  • Ogawa, Toru  ( Tohoku university graduate school of dentistry , Sendai , Japan ;  Centre for Sleep Health and Research, Department of Respiratory Medicine, Royal North Shore Hospital , Sydney , New South Wales , Australia )
  • Sutherland, Kate  ( Centre for Sleep Health and Research, Department of Respiratory Medicine, Royal North Shore Hospital , Sydney , New South Wales , Australia ;  Woolcock Institute of Medical Research and Sydney Medical School, University of Sydney , Sydney , New South Wales , Australia )
  • Chan, Andrew S L  ( Centre for Sleep Health and Research, Department of Respiratory Medicine, Royal North Shore Hospital , Sydney , New South Wales , Australia )
  • Sasaki, Keiichi  ( Tohoku university graduate school of dentistry , Sendai , Japan )
  • Cistulli, Peter A  ( Centre for Sleep Health and Research, Department of Respiratory Medicine, Royal North Shore Hospital , Sydney , New South Wales , Australia )
  • Financial Interest Disclosure: NONE
    SESSION INFORMATION
    Poster Session
    Sleep Disorders and Imaging in Pain States
    Thursday, 03/12/2015 , 03:30PM - 04:45PM
    TABLES
    Table 1 Clinical Characteristics of patients according to treatment outcome
    All patients
    (n=67)
    Responders
    (n=47)
    Non-responders
    (n=21)
    p Value*
    Male gender (%) 64.7 70.2 61.9 .207
    Age (years) 50.2±10.0 49.1±10.3 52.9±9.0 .151
    BMI (kg/ cm2) 29.1±5.1 28.3±4.6 30.9±5.7 .063
    Baseline AHI (events/h) 27.1±14.8 29.7±16.3 21.4±8.7 .032
    AHI with MAS (events/h) 12.1±12.5 7.7±7.3 21.9±16.0 .001
    Data are shown as means ±SD * Statistical significance (p< .05): All data was compared between responders and non-responders using the independent t-test with the exception of gender (Chi-square test) AHI: aponea - hypopnoea index, BMI: body mass index, MAS: mandibular advancement splint
    Table 2 Responders and Non-responders comparison of Tongue, Soft palate and Airway changes without and with mandibular advancement splint (MAS)
    Responders (n=47) Non-responders (n=21) Main effect
    MAS appliance (without/with)
    Treatment response
    (Res/Non-Res)
    Interaction
    MAS appliance and treatment response
    Without MAS With MAS Without MAS With MAS F-value(df) P-value F-value(df) P-value F-value(df) P-value
    Tongue
    Maximum height (cm) 5.49±0.47 6.16±0.49 5.54±0.48 6.11±0.51 335.4(1,66) .000* 0.0(1,66) .998 1.8(1,66) .179
    Anterior height (cm) 4.83±0.49 5.30±0.54 5.09±0.46 5.46±0.59 5.1(1,66) .000* 2.9(1,66) .095 0.7(1,66) .411
    Posterior height (cm) 7.44±0.74 7.17±0.73 7.65±0.91 7.36±0.77 20.6(1,66) .000* 1.1(1,66) .308 0.0(1,66) .910
    Length (cm) 7.51±0.72 6.87±0.66 7.48±0.69 7.16±0.58 57.90(1,66) .000* 0.4(1,66) .424 6.1(1,66) .016*
    Width (cm) 3.74±0.38 3.40±0.40 3.72±0.35 3.37±0.37 169.1(1,66) .000* 0.1(1,66) .792 0.1(1,66) .822
    Distance from the palate (cm) 0.18±0.34 0.47±0.50 0.18±0.34 0.41±0.56 13.8(1,66) .000* 0.1(1,66) .780 0.2(1,66) .689
    Tongue body area (cm2) 3.69±0.40 3.73±0.47 3.85±0.57 3.87±0.51 1.2(1,66) .265 1.5(1,66) .218 0.1(1,66) .781
    Tongue base area (cm2) 0.68±0.19 0.67±0.20 0.65±0.15 0.65±0.12 0.2(1,66) .603 0.2(1,66) .620 0.1(1,66) .734
    Maximum height / Length 0.74±0.10 0.90±0.12 0.74±0.06 0.86±0.09 237.2(1,66) .000* 0.7(1,66) .395 7.6(1,66) .007*
    Anterior height / Length 0.65±0.09 0.78±0.10 0.68±0.07 0.77±0.10 128.9(1,66) .000* 0.3(1,66) .292 5.7(1,66) .020*
    Posterior height / Length 0.99±0.07 1.05±0.10 1.02±0.08 1.03±0.08 8.3(1,66) .005* 0.1(1,66) .776 5.3(1,66) .024*
    Soft palate
    Area (cm2) 3.94±0.86 3.74±0.89 4.55±1.19 4.15±1.11 9.5(1,66) .003* 4.5(1,66) .037* 1.1(1,66) .297
    Length (cm) 4.32±0.67 4.25±0.64 4.73±0.54 4.55±0.53 2.9(1,66) .092 5.9(1,66) .018* 0.4(1,66) .510
    Width (cm) 1.22±0.19 1.17±0.21 1.32±0.34 1.20±0.33 10.4(1,66) .002* 1.1(1,66) .293 2.1(1,66) .150
    Velopharynx
    Area (cm2) 2.24±1.02 2.17±1.00 2.35±0.94 2.31±0.86 0.3(1,66) .598 0.3(1,66) .584 0.0(1,66) .880
    Minimum width (cm) 0.22±0.19 0.24±0.20 0.19±0.21 0.23±0.18 1.4(1,66) .243 0.2(1,66) .667 0.2(1,66) .627
    Length (cm) 3.45±0.56 3.27±0.65 3.70±0.58 3.50±0.52 8.9(1,66) .004* 2.9(1,66) .091 0.0(1,66) .865
    Oropharynx
    Area (cm2) 1.84±1.03 2.16±1.29 1.70±0.78 1.83±0.82 3.3(1,66) .074 0.9(1,66) .353 0.7(1,66) .420
    Minimum width (cm) 0.71±0.48 0.75±0.45 0.69±0.36 0.89±1.12 1.7(1,66) .196 0.2(1,66) .623 0.8(1,66) .376
    Length (cm) 2.38±0.73 0.30±0.76 2.04±0.65 2.14±0.60 0.0(1,66) .907 2.3(1,66) .136 0.9(1,66) .341
    Hypopharynx
    Area (cm2) 2.56±1.33 2.68±1.44 2.69±1.46 2.44±1.42 0.2(1,66) .660 0.0(1,66) .878 1.8(1,66) .188
    Minimum width (cm) 0.44±0.34 0.56±0.48 0.46±0.33 0.44±0.36 0.8(1,66) .376 0.3(1,66) .613 1.7(1,66) .216
    Length (cm) 2.51±0.72 2.54±0.62 2.66±0.58 2.61±0.65 0.0(1,66) .904 0.5(1,66) .479 0.4(1,66) .513
    Data are shown as means ±SD. *Statistical significance (p< .05). All data was compared between responders and non-responders using the two-way analysis of variance (ANOVA) df: degrees of fressdom
    IMAGES