IADR Abstract Archives

Arsenic Induced Jaw Lesions - An Experimental Study

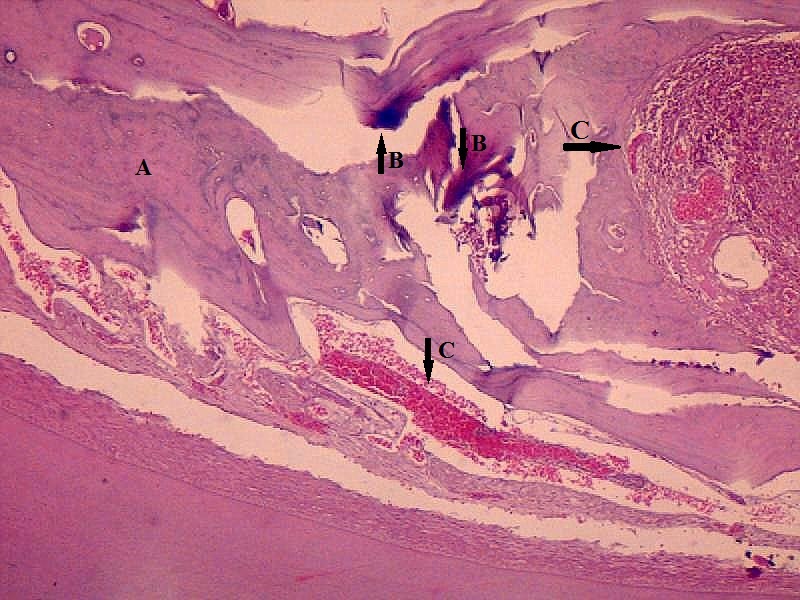
Objectives: Inorganic arsenic is known to cause toxic effects ranging from mild and reversible to malignant changes in different tissues of human body. Contaminated drinking water and branded herbal medicinal products (HMPs) in Pakistan have been found to contain high levels of this heavy metal. This study was therefore designed to determine the pathological effects of inorganic arsenic on jaw bones of experimental animals.
Methods: A total of 45 wistar rats were taken and divided into 3 groups (15 each). Group A, B & C rats were daily given distilled water alone (control), distilled water containing 10 mg/l (low dose) and 20 mg/l (high dose) of Sodium Arsenite (NaAsO2) respectively for 14 weeks. Animals were sacrificed, mandibles and maxillae were dissected and submitted for microscopic assessment of pathological changes.
Results: Histological changes including focal loss of osteoblastic activity and congestion of matrix vessels were observed in mandibles and maxillae of all experimental animals in both groups. Comparing maxillae in group B vs group C, focally hypocellular bone matrix (67% vs 78%), hyperplastic bony trabeculae (56% vs 22%), sequestra of acellular necrotic bone (33% vs 44%) and calcifications (56% vs 33%) were observed. Comparative histology in mandibles revealed only hypocellular matrix (89% vs 100%) and hyperplastic bony trabeculae (67% vs 78%). Comparative bone marrow changes including hypocellularity, haemorrhage, fatty degeneration and fibroreticulosis were observed as (67% vs 89%), (56% vs 89%), (33% vs 56), (22% vs 33%) respectively in maxillae and (100% vs 89%), (100% each), (33% vs 89%) and (22% vs 78%) respectively for mandibles. In comparison to group A, bone lesions were significantly associated with group B and C (P<0.05).
Conclusions: Inorganic arsenic induces degeneration of marrow and prenecrotic changes in jaw bones which calls for stringent measures aimed at its environmental decontamination and quality control in formulating HMPs.
Division: Pakistan Section Meeting
Meeting: 2014 Pakistan Section Meeting (Lahore, Pakistan)
Location: Lahore, Pakistan
Year: 2014
Final Presentation ID: 0008
Abstract Category|Abstract Category(s): Oral Medicine & Pathology
Authors
  • Tayyab, Muhammad  ( University of Health Sciences, Lahore , Lahore , Punjab , Pakistan )
  • Naseem, Nadia  ( University of Health Sciences , Lahore , Pakistan )
  • Nagi, Abdul  ( University of Health Sciences , Lahore , Pakistan )
  • SESSION INFORMATION
    Oral Session
    Postgraduate Oral Presentation Competition I
    Saturday, 10/25/2014 , 02:00PM - 03:15PM
    IMAGES