IADR Abstract Archives

Replacement of a hopeless mandibular tooth with an Immediate Function Dental Implant : A Case Report

Objectives: To replace a non salvagable mandibular premolar with an immediate implant and crown.
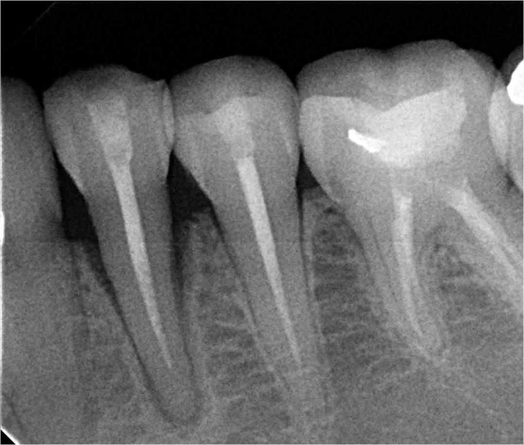
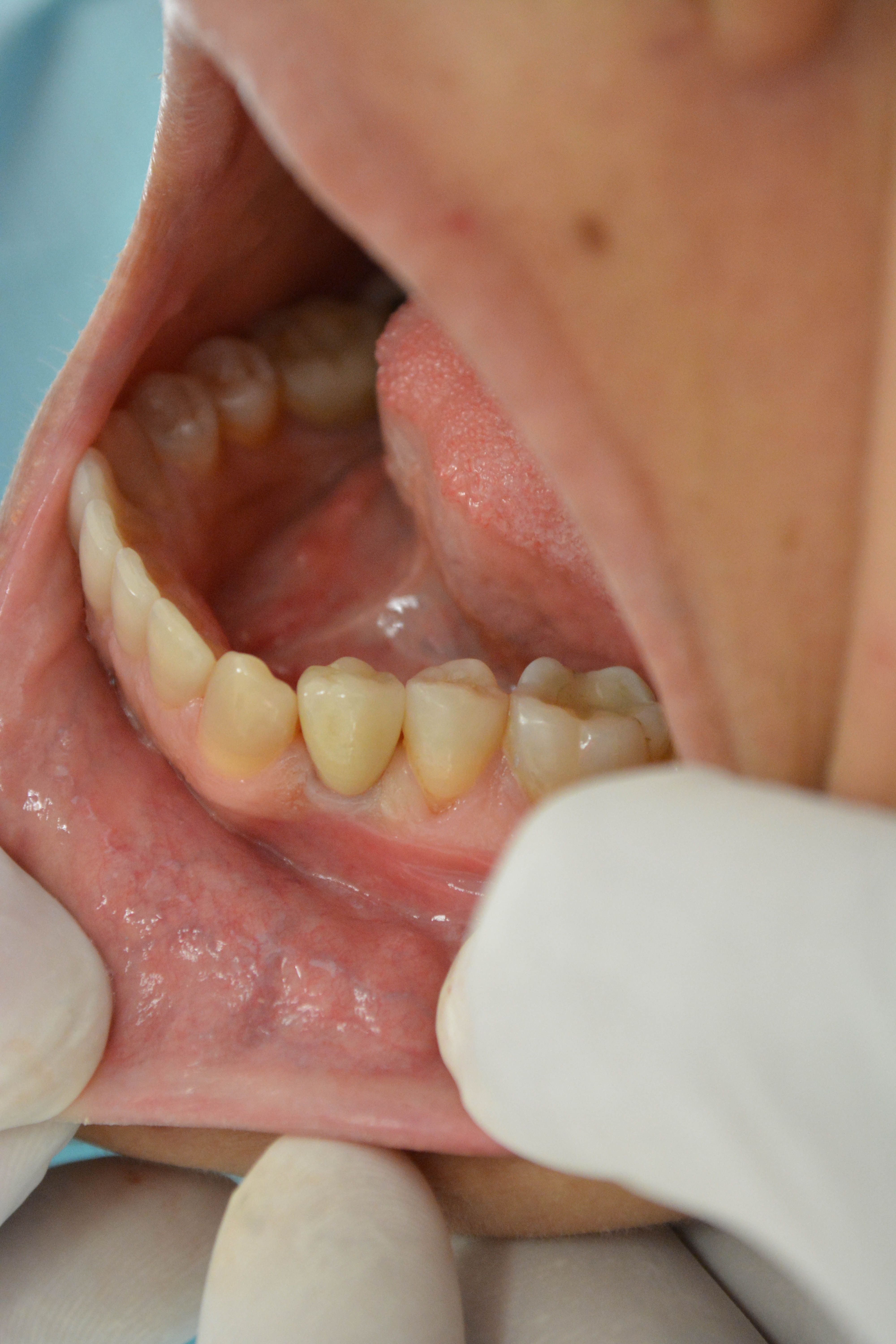
Methods: It was a case report of a 25 year old female patient who presented to dental clinic AKUH with the complaints of mobility in a tooth in lower left jaw. On clinical and radiographic examination her first premolar was periodontaly compromised and had a hopeless prognosis.An atraumatic tooth extraction was done under local anaesthesia and a Zimmer implant was immediately placed, primary stability achieved to 30Ncm. Temporary crown was placed on the implant on the same day using patient’s own pre extraction record. Her bite was adjusted to keep tooth slightly off occlusion.After a 2 weeks interval, excellent tissue healing was achieved and permanent crown was placed using cemented retention.
Results: The patient benefited with an esthetic smile as she never remained toothless during the entire treatment span. The final crown was fixed within two weeks of surgery rather than 4-6 months which is the conventional healing time. The pain experience was low too as all the treatment was completed in a single surgery with minimal tissue damage
Conclusions: Option of immediate placement and loading of implants can be exercised in selected cases. Proper case selection is the key to the predictable outcome.
Division: Pakistan Section Meeting
Meeting: 2014 Pakistan Section Meeting (Lahore, Pakistan)
Location: Lahore, Pakistan
Year: 2014
Final Presentation ID: 0054
Abstract Category|Abstract Category(s): Implantology Research
Authors
  • Tabassum, Sadia  ( Aga Khan university Hospital Karachi , Karachi , Sindh , Pakistan )
  • SESSION INFORMATION
    Poster Session
    Postgraduate Poster Competition
    Saturday, 10/25/2014 , 09:00AM - 05:00PM
    IMAGES