IADR Abstract Archives

Concomitant Chemoradiotherapy- Induced Acute Immediate Nuclear Abnormalities in Normal Buccal Mucosa Cells: Serial Cytological evaluation

Objectives: To evaluate the time-response relationship of nuclear abnormalities in normal buccal mucosa cells collected by serial scrape smears from OSCC patients on concomitant chemoradiotherapy.
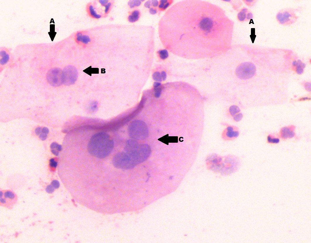
Methods: The study included 70 patients of OSCC treated by Concomitant chemoradiotherapy. Serial scrape smears were taken from normal buccal mucosa on specific days of therapy i.e. before and at the end of therapy with the wooden spatula. The smears were stained by H&E, Pap and Giemsa stains and evaluated by light microscopy. The frequency of karyolysis, karyorrhexis, micronucleation, binucleation, nuclear budding and multinucleation were recorded.
Results: The karyolysis was seen in n=71 (50.7%), karyorrhexis n=71 (50.7%), binucleation n=77 (55%), nuclear budding n=68(48.5%), micronucleation n=73(52.1%), prominent nucleoli n=85(60.7%) and multinucleation n=54 (38.5%) smears. The values before and at the end of therapy were n=1(1.4%) and n=70 (100%) (P<0.00) for karyolysis and karyorrhexis, n=7 (10%) and n=70 (100%) (P<0.00) for binucleated cells, n=0 and n=68 (97.1%) (P<0.00) for nuclear budding, n=3 (4.3%) and n=70 (100%) (P<0.00) for micronucleation, n=15(21.4%) and n=70(100%) (P<0.00) for prominent nucleoli and n=0 and n=54 (77.1%) (P<0.00) for multinucleated cells. The CCRT induced karyolysis, karyorrhexis, binucleation, micronucleation, nuclear budding and multinucleation in normal buccal mucosa cells has statistically significantly day’s related increase that became evident in first few days of CCRT and that they can be well differentiated by cytology.
Conclusions: The relationship between different days of CCRT and high variations in normal buccal mucosa suggests that the serial smears of these changes has potential use for the prediction of inflammatory- benign-precancerous and then to malignant lesions in patients receiving CCRT. Atypical nuclear changes can occur in normal buccal mucosa due to CCRT which may lead to malignant changes in radiation field. Study validates the concept of “Field Cancerization”.
Division: Pakistan Section Meeting
Meeting: 2014 Pakistan Section Meeting (Lahore, Pakistan)
Location: Lahore, Pakistan
Year: 2014
Final Presentation ID: 0072
Abstract Category|Abstract Category(s): Oral Medicine & Pathology
Authors
  • Minhas, Sadia  ( university of Health Sciences , Lahore , Punjab , Pakistan )
  • Naseem, Nadia  ( university of Health Sciences , Lahore , Punjab , Pakistan )
  • Kashif, Muhammad  ( university of Health Sciences , Lahore , Punjab , Pakistan )
  • Nagi, Abdul  ( university of Health Sciences , Lahore , Punjab , Pakistan )
  • SESSION INFORMATION
    Oral Session
    Postgraduate Oral Presentation Competition III
    Sunday, 10/26/2014 , 09:00AM - 10:30AM
    TABLES
    Frequency of nuclear atypia in cytological smears from normal buccal mucosa before and at the end of CCRT.
    Before CCRT (N=70)Karyolysis n=1 (1.4%)Karyorrhexsis n=1 (1.4%)Binucleation n=7 (10%)Micronucleation n=3 (4.3%)Nuclear Budding n=0 (0%)Prominent Nucleoli n= 15 (21.4%)Multinucleation n= 0 (0%)
    End CCRT (N=70)Karyolysis n=70 (100%)Karyorrhexsis n=70 (100%)Binucleation n= 70 (100%)Micronucleation n= 70(100%)Nuclear Budding n= 68(97.1%)Prominent Nucleoli n= 70 (100%)Multinucleation n=54 (77.1%)

    IMAGES