IADR Abstract Archives

Relationship between Different Morphological Parameters and Immunohistochemical Expression of EP3 Receptors of Prostaglandin E2 in Oral Squamous Cell Carcinoma

Objectives: To observe the relationship between different morphological parameters and immunohistochemical expression of EP3 receptors of prostaglandin E2 in oral squamous cell carcinoma.
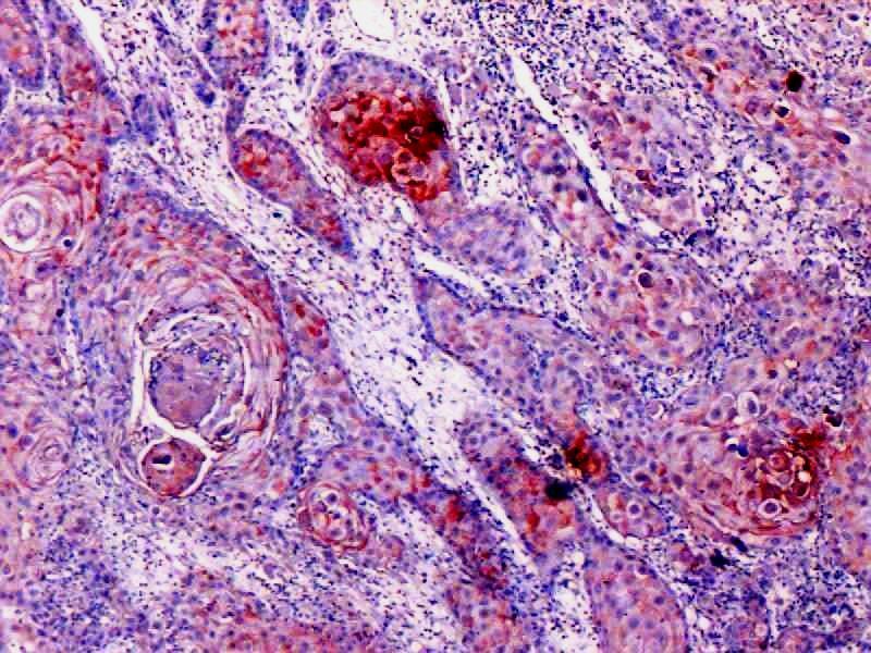
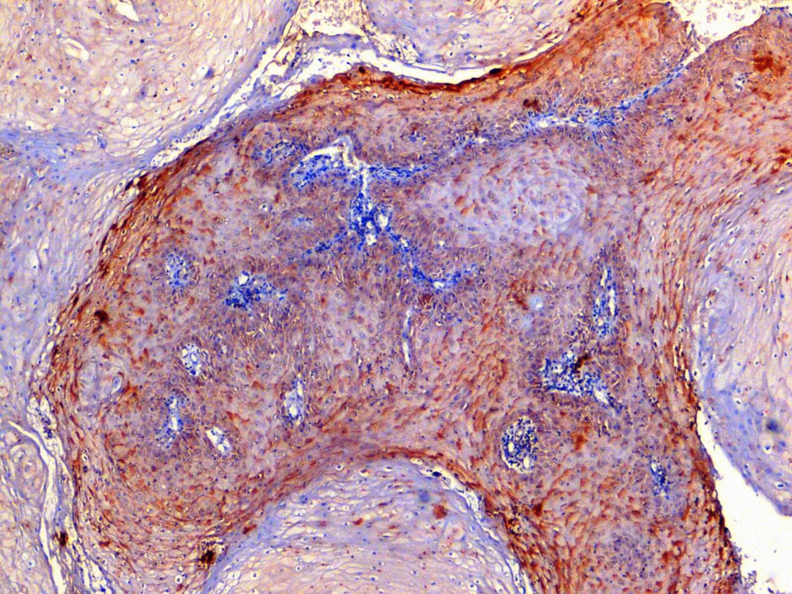
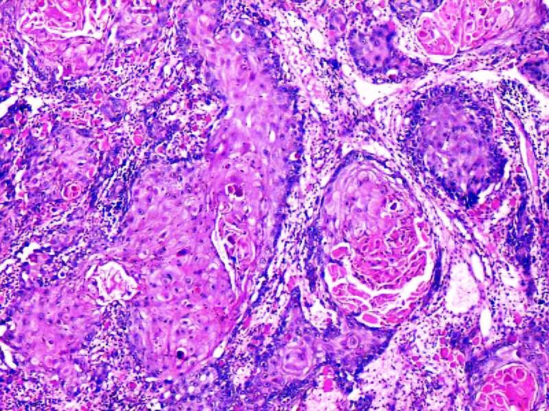
Methods: Tissue samples from 45 patients presenting with various histological subtypes and grades of OSCC were obtained. Anneroth’s histological grading system had been used to grade OSCC cases on H&E staining, followed by immunohistochemical staining with anti EP3 antibody. Sections were microscopically scored for intensity categorized from (0 to +3) in positive squamous epithelial cells in the tumour tissue.
Results: Among 45 cases, 27 (60%) were of WDSCC, 15 (33.3%) MDSCC and 3 (6.6%) were of PDSCC cases. Most of them (51%) with >50% degree of keratinization showed moderate to strong intensity of staining (p=0.039). In 45 cases of OSCC 29 cases showed 25-50% mature cells with high degree of nuclear pleomorphism. Most cases (91%) showed >5 mitoses/hpf. But the relationship between intensity of EP3 antibody staining and number of mitoses/phf in cases of OSCC was statistically insignificant (p=0.77). Small groups/cords of infiltrating cells (n>15 cells) with moderate intensity of EP3 staining was the most common (51%) pattern of invasion. Invasion below lamina propria adjacent to muscles, salivary gland tissues and periosteum was the most common (51%) stage of invasion followed by distinct invasion, but involving lamina propria only (30.7%). Moderate intensity of EP3 antibody staining was predominant in both of these patterns. Moderate degree of inflammation was present in 53% followed by slight (24%) and marked (22%) inflammation with moderate intensity of EP3 antibody staining in both of these patterns (p=0.054).
Conclusions: Immunohistochemical findings of present study may predict that expression of EP3 receptors in OSCC may play a significant role in the carcinogenic progression of squamous epithelial cells. Further studies are needed on a larger sample size that may focus on molecular and genetic pathways to explore underlying molecular mechanisms.
Division: Pakistan Section Meeting
Meeting: 2014 Pakistan Section Meeting (Lahore, Pakistan)
Location: Lahore, Pakistan
Year: 2014
Final Presentation ID: 0071
Abstract Category|Abstract Category(s): Oral Medicine & Pathology
Authors
  • Kashif, Muhammad  ( University of Health Sciences Lahore, Pakistan , Lahore , Punjab , Pakistan )
  • Ishfaq, Muhammad  ( Nishtar Institute of Dentistry Multan , Multan , Pakistan )
  • Nagi, Abdul  ( University of Health Sciences Lahore, Pakistan , Lahore , Punjab , Pakistan )
  • SESSION INFORMATION
    Oral Session
    Postgraduate Oral Presentation Competition III
    Sunday, 10/26/2014 , 09:00AM - 10:30AM
    IMAGES